Dr. Bilyana Titeva, KBL GROUP LTD/КОМПОЗИТНИ ФАСЕТИ В ИЗБЕЛЕН ЦВЯТ/COMPOSITE VENEERS IN BLEACH SHADE

DR.TITEVA ONE SMILE FULL PROTOCOL

БЪДИ ЕКСПЕРТ В ОБЛАСТТА НА ТРАНСФОРМЦИЯТА В ЕДНО ПОСЕЩЕНИЕ

ДИРЕКТНИ КОМПОЗИТНИ ФАСЕТИ В ИЗБЕЛЕН ЦВЯТ е курсът, който ще преобрази мисленето ти относно възможностите на композитите.

Виж тези случаи- напълно трансформирани усмивки само в есно посещение по моя протокол DR.TITEVA ONE SMILE, в който разглеждаме всички съпътстващи моменти от прегледа и планирането, през лазерната гингивопластика, избелване, изграждане на самите фасети и РЕТЕНЦИЯ на резултатите в годините.

TOKUYAMA ASTERIA ESTELITE

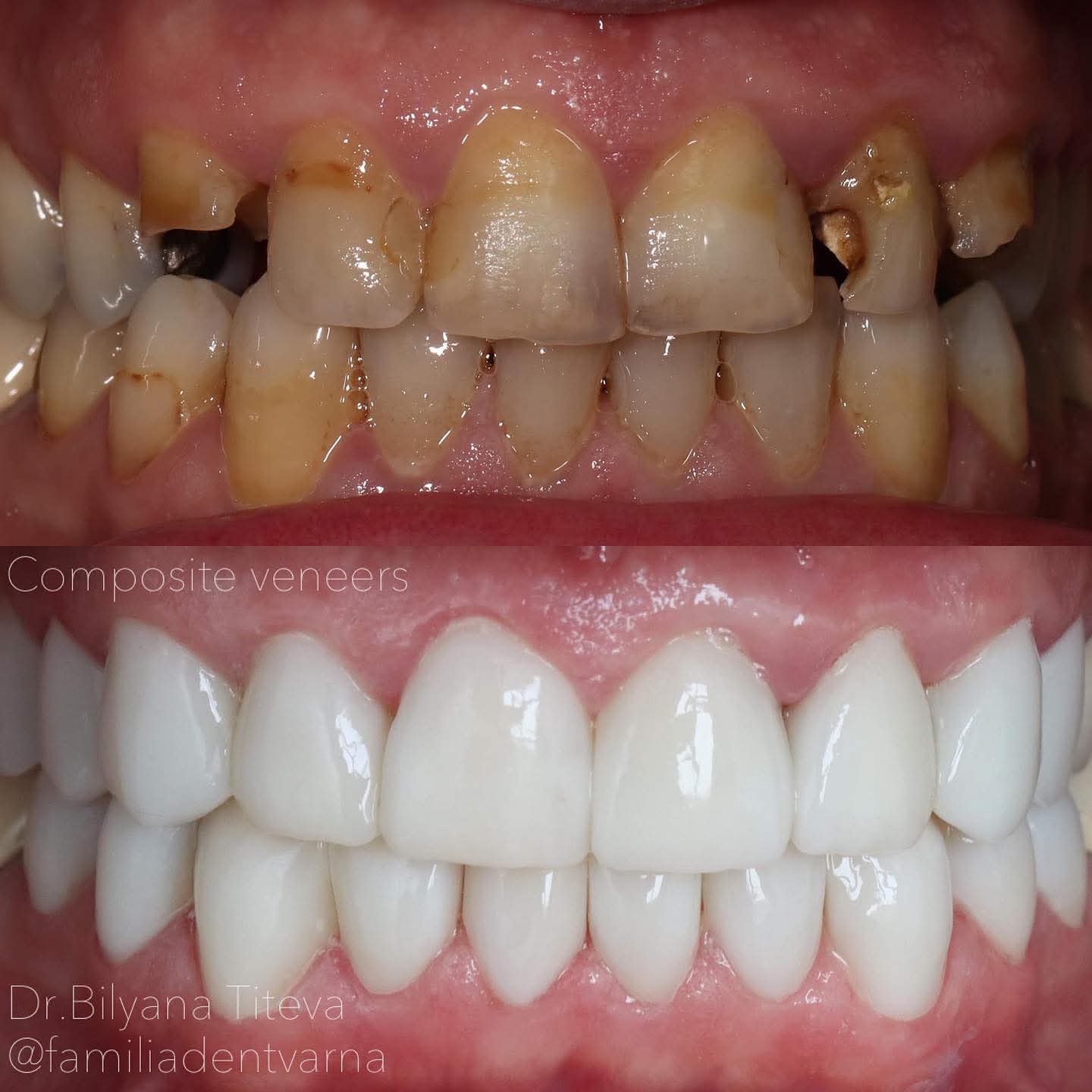
КОМПОЗИТНИ ФАСЕТИ при ГИНГИВАЛНА УСМИВКА, ДИСПЛАЗИЯ на ЕМАЙЛА и МЛЕЧНИ КАНИНИ

ASTERIA ESTELITE

ЛАЗЕРНА ГИНГИВОПЛАСТИКА И КОМПОЗИТНИ ФАСЕТИ за HOLLYWOOD SMILE ЕФЕКТ, промяна в ЕДНО ПОСЕЩЕНИЕ

G-AENIAL GC

ЗЪБНО ИЗНОСВАНЕ и ПАРОДНТИТ- ДА МОЖЕМ И ТЕЗИ СЛУЧАИ ДА ПРЕОБРАЗИМ УСМИВКИТЕ НА АПЦИЕНТИТЕ СИ В ЕДНО ПОСЕЩЕНИЕ

G-AENIAL A'CHORD

ОТЗИВИТЕ НА ПАЦИЕНТИТЕ ВИ СЛЕД ТОЗИ КУРС ЩЕ БЪДАТ ВАШАТА РЕКЛАМА

ЛИЧНИ СНИМКИ ОТ ОТЗИВ НА ПАЦИЕНТ в GOOGLE

СИЛНО РАЗРУШЕНИ ЗЪБИ И ЛЕЧЕНИЕ НА ЗЪБНО ИЗНОСВАНЕ ЗИЦЯЛО С ДИРЕКТНИ КОМПОЗИТИ

ESSENTIA GC

ДОРИ ПРИ МИКРОДОНТИЯ, ХИПОДОНТИЯ, КРЪСТОСАНА ОКЛУЗИЯ- ТОЗИ КУРС ЩЕ ВИ ДАДЕ КОНЦЕПЦИЯТА ЗА ЦЯЛОСТНО ПЛАНИРАНЕ

КОМПОЗИТЪТ Е МАГИЯ, която иска само да бъде УСВОЕНА В ПЪЛНОТА

  • €790 or 12 monthly payments of €85

КОМПОЗИТНИ ФАСЕТИ В ИЗБЕЛЕН ЦВЯТ- Единственият цялостен 8-часов онлайн курс, който показва протокола за минималноинвазивни композитни фасети – от планиране до изпълнение, включително най-сложните клинични случаи (аномалии, дисплазии, криви зъби, мъртви преоцветени зъби, напълноинтантни зъби след ортодонтско лечение)

  • Course
  • 25 Lessons

„Мастерклас по композитни фасети в избелен цвят – протокол за постигане на предсказуеми естетични резултати дори при най-сложни случаи“

„8-часово онлайн обучение със запис, неограничен достъп и реални клинични протоколи, които прилагам всеки ден в практиката си.“

КЛЮЧОВИ ПОЛЗИ

  • Как да планирате и изпълнявате фасети в избелен цвят с максимална естетика.

  • Решаване на сложни клинични казуси: криви зъби, дисплазии, ортодонтски аномалии.

  • Пълен протокол: от диагностика и планиране → до финално полиране.

  • Кога да прилагаме избелване- преди/ след изграждане на фасетите.

  • Естетична лазерна гингивопластика

  • Разглеждане стъпка по стъпка на изграждане на трислойни композитни фасети с G-aenial A'CHORD при интактни зъби БЕЗ изпиляване при реален пациент

  • Разглеждане на стъпка по стъпка клиничен случай на композитни фасети с Essentia GC - включително при мъртви преоцветени зъби и интеграцията им цялостната промяна при живи зъби

  • Стъпка по стъпка протоколи композитни фасети при мъртви преоцветни зъби при реален клиничен случай

  • Стъпка по стъпка композитни фасети при пациенти с пародонтит, инклинации и ротации- реален клиничен случай

  • Сравнителна характеристика и практично сравнение между различните марки композити, с които можете да проведете промяна в избелен цвят- Asteria Estelite Tokuyama Dental, Essentia GC, G-aenial GC, G-aenial A'CHORD GC, Ivoclar.

  • Обсъждане на десетки реални и нестандартни клинични случаи от практиката ми (преди/след), лекувани с различни материали и цветови комбинации.

  • ретенция спрямо диагнозата или как да задържим резултата в годините

  • Успешна комуникация с пациента

  • Въпроси от аудиторията и отговори в реално време са в записа.

  • Достъп до всички материали от курса

Dr.Teodora Milusheva

"Това е най-добрия курс по естетична стоматология, на който съм била"

"THIS IS THE BEST ESTHETIC DENTISTRY COURSE I HAVE EVER ATTENDED"

Dr. Alexandra Savova

"Благодаря! Беше страхотно! Изчерпателно, вдъхновяващо и запомнящо се преживяване! Не мисля, че имаше нещо, което е пропуснато, за мен лино курсът беше полезен, информацията беше поднесена стегнато и всички детейли описани. Рядко оставам без въпроси, сега нямаше нищо неясно! Благодаря!"

"Thank you, it was amazing! A comprehensive, inspiring, and memorable experience. I don’t think anything was left out. For me personally, the course was very useful, the information was presented concisely and all the details were explained. It’s rare that I’m left without questions, but this time everything was clear! Thank you!

Dr. Yoana Marinova

"Благодаря, д-р Титева, за ползотворните 11 часа и за ентусиазма, с който ни заразихте"

"Thank you, Dr. Titeva, for the productive 11 hours and for the enthusiasm with which you inspired us."